Skip to main page content
U.S. flag

An official website of the United States government

Dot gov

The .gov means it’s official.
Federal government websites often end in .gov or .mil. Before sharing sensitive information, make sure you’re on a federal government site.

Https

The site is secure.
The https:// ensures that you are connecting to the official website and that any information you provide is encrypted and transmitted securely.

Access keys NCBI Homepage MyNCBI Homepage Main Content Main Navigation
. 2001 Feb;21(4):1239-48.
doi: 10.1128/MCB.21.4.1239-1248.2001.

Endoplasmic reticulum stress-induced formation of transcription factor complex ERSF including NF-Y (CBF) and activating transcription factors 6alpha and 6beta that activates the mammalian unfolded protein response

Affiliations

Endoplasmic reticulum stress-induced formation of transcription factor complex ERSF including NF-Y (CBF) and activating transcription factors 6alpha and 6beta that activates the mammalian unfolded protein response

H Yoshida et al. Mol Cell Biol. 2001 Feb.

Abstract

The levels of molecular chaperones and folding enzymes in the endoplasmic reticulum (ER) are controlled by a transcriptional induction process termed the unfolded protein response (UPR). The mammalian UPR is mediated by the cis-acting ER stress response element (ERSE), the consensus sequence of which is CCAAT-N(9)-CCACG. We recently proposed that ER stress response factor (ERSF) binding to ERSE is a heterologous protein complex consisting of the constitutive component NF-Y (CBF) binding to CCAAT and an inducible component binding to CCACG and identified the basic leucine zipper-type transcription factors ATF6alpha and ATF6beta as inducible components of ERSF. ATF6alpha and ATF6beta produced by ER stress-induced proteolysis bind to CCACG only when CCAAT is bound to NF-Y, a heterotrimer consisting of NF-YA, NF-YB, and NF-YC. Interestingly, the NF-Y and ATF6 binding sites must be separated by a spacer of 9 bp. We describe here the basis for this strict requirement by demonstrating that both ATF6alpha and ATF6beta physically interact with NF-Y trimer via direct binding to the NF-YC subunit. ATF6alpha and ATF6beta bind to the ERSE as a homo- or heterodimer. Furthermore, we showed that ERSF including NF-Y and ATF6alpha and/or beta and capable of binding to ERSE is indeed formed when the cellular UPR is activated. We concluded that ATF6 homo- or heterodimers recognize and bind directly to both the DNA and adjacent protein NF-Y and that this complex formation process is essential for transcriptional induction of ER chaperones.

PubMed Disclaimer

Figures

FIG. 1
FIG. 1
Schematic structures of full-length and mutant forms of ATF6α(A) and ATF6β (B). Numbers indicate amino acid positions from the N terminus. The locations of the activation domain (AD), basic leucine zipper region (bZIP), and transmembrane domain (TMD) are marked.
FIG. 2
FIG. 2
Formation of homodimers of ATF6α(A) or heterodimers between ATF6α and ATF6β (B) detected by two-hybrid assays. Mammalian expression plasmids pBIND and pACT carried the DNA-binding domain of yeast transcriptional activator Gal4p (GAL4BD) and the activation domain of VP16 (VP16AD), respectively. ATF6α(171-373) was fused with GAL4BD in pBIND to generate GAL4BD-ATF6α(171-373), which was used as bait, whereas ATF6α(1-373), ATF6α(1-291), ATF6β(1-392), and ATF6β(1-310) were fused with VP16AD in pACT and used as prey (see schematic structures depicted in Fig. 1). HeLa cells were transiently transfected with a combination of bait plasmid (100 ng) and prey plasmid (100 ng), as indicated, together with the reporter plasmid pG5luc (100 ng), containing five GAL4BD binding sites upstream of the firefly luciferase gene. Twenty-four hours after transfection, relative luciferase activity constitutively expressed in transfected cells was determined, and averages from four independent experiments are presented with standard deviations (bars).
FIG. 3
FIG. 3
Formation of homo- and heterodimers between ATF6α and ATF6β detected by EMSA. Various subregions of ATF6α and ATF6β were translated in vitro individually or together with other subregions, as indicated, and then incubated with 32P-labeled oligonucleotide probe GRP78-ERSE1 in the presence or absence of NF-Y trimer. DNA-protein complexes formed were analyzed by EMSA. The positions of complexes I and II are indicated. The arrow marks the positions of complex II composed of NF-Y and heterodimer of ATF6α and/or ATF6β bound to 32P-labeled GRP78-ERSE1.
FIG. 4
FIG. 4
Interaction between NF-Y and ATF6α(A) or ATF6β (B) detected by two-hybrid assays. Full-length NF-YA was fused with GAL4BD in pBIND to express GAL4BD-NF-YA fusion protein, whereas unfused full-length NF-YB or NF-YC was expressed from a pcDNA3.1(+)-based plasmid. Various subregions of ATF6α and ATF6β were fused with VP16AD in pACT to express various VP16AD fusion proteins, as indicated. HeLa cells were transiently transfected with a combination of bait plasmid (total, 100 ng) and prey plasmid (100 ng) together with reporter plasmid pG5luc (100 ng). Relative luciferase activity was determined and is presented as in Fig. 2.
FIG. 5
FIG. 5
Interaction between NF-Y and ATF6α or ATF6β detected by pull-down assays. (A) Pull-down assays using immobilized NF-Y trimer. In vitro-translated and [35S]methionine-labeled luciferase, ATF6α(1-373), or ATF6β(1-392) was mixed with resin to which recombinant NF-Y trimer had been immobilized (lanes +) or control resin (lanes −). After washing, bound materials were eluted, subjected to SDS-12% PAGE, and visualized by exposure to X-ray film. Aliquots (10%) of input materials were run on the same gel for comparison (lanes input). (B) Pull-down assays using immobilized NF-Y subunit. In vitro-translated and [35S]methionine-labeled ATF6α(1-373) or ATF6β(1-392) was mixed with resin to which NF-Y trimer (lanes 12 and 18) or one of the three subunits of NF-Y (NF-YA, NF-YB, and NF-YC, lanes 13 to 15 and lanes 19 to 21) had been immobilized, or control resin (lanes 11 and 17). Bound materials and 10% aliquots of input materials were analyzed as in panel A.
FIG. 6
FIG. 6
Identification of the regions in ATF6α(A and C) and ATF6β (B and D) important for interaction with NF-Y. Interactions of NF-Y trimer with various subregions of ATF6α and ATF6β translated in vitro and labeled with [35S]methionine were determined by pull-down assays as described for Fig. 5A.
FIG. 7
FIG. 7
Effects of deleting leucine zipper regions on the activities of ATF6α and ATF6β. (A) Effects on ERSE-binding activity. Various C-terminal deletion mutants of ATF6α and ATF6β translated in vitro were incubated with 32P-labeled oligonucleotide probe GRP78-ERSE1 in the presence of NF-Y trimer. Rabbit reticulocyte lysate that had been incubated with vector alone was used as a control. DNA-protein complexes formed were analyzed by EMSA. The positions of complexes I and II are indicated. (B) Effects on transcriptional activity. HeLa cells were transiently transfected with 10 μg of pcDNA3.1(+) alone (vector) or one of the pcDNA3.1(+)-based plasmids to express various C-terminal deletion mutants of ATF6α or ATF6β, as indicated. Forty-eight hours after transfection, cells were lysed with phosphate-buffered saline containing 1% SDS and boiled for 5 min. Samples (6 μg of protein) were subjected to SDS–10% PAGE and analyzed by immunoblotting with anti-KDEL antibody, which recognizes GRP78.
FIG. 8
FIG. 8
In vitro reconstitution of ERSF consisting of NF-Y and ATF6α or ATF6β. (A) Nucleotide sequences of oligonucleotides immobilized on resin. A 37-bp sequence containing GRP78-ERSE1 and its flanking nucleotides is referred to as ERSE-CC. Two critical regions of ERSE (shaded) were mutated separately or simultaneously (indicated by lowercase letters) to generate ERSE-CM, ERSE-MC, and ERSE-MM. Each of the synthetic double-stranded oligonucleotides was immobilized on resin. Principles of assays to analyze formation of ERSF are shown schematically on the right. (B and C) Binding of ATF6α(B) and ATF6β (C) in the presence of NF-Y to resin carrying ERSE-CC. Various subregions of ATF6α and ATF6β labeled with [35S]methionine during in vitro translation were mixed with recombinant NF-Y trimer and applied to resin to which one of the four oligonucleotides (ERSE-CC,-CM,-MC, or -MM) had been immobilized. After washing, bound materials were eluted and subjected to SDS–12% PAGE together with 10% aliquots of input material. Eluted NF-Y was detected by immunoblotting using anti-NF-YA antibody, whereas eluted ATF6α and ATF6β were visualized by exposure to X-ray film.
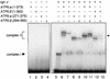
FIG. 9
FIG. 9
Formation of ERSF in nuclear extract of ER-stressed cells. (A) Effects of thapsigargin treatment on the processing of ATF6α and ATF6β. HeLa cells were untreated (−Tg) or treated with 300 nM thapsigargin for 4 h (+Tg). The cells were lysed directly in 50 μl of 1× Laemmli's SDS sample buffer and boiled for 5 min. Aliquots (5 μl) of the samples were subjected to SDS-PAGE and analyzed by immunoblotting with anti-ATF6α or anti-ATF6β antibody. Nuclear extracts were also prepared as described in Materials and Methods and analyzed similarly by immunoblotting. The positions of p90ATF6α, p50ATF6α, p110ATF6β, and p60ATF6β are indicated by arrowheads. The positions of prestained SDS-PAGE molecular size standards (Bio-Rad, Hercules, Calif.) are also shown (in kilodaltons). (B) ER stress-induced formation of ERSF. Nuclear extract of HeLa cells prepared as in panel A was mixed with resin to which one of the four oligonucleotides (ERSE-CC,-CM,-MC, or -MM) had been immobilized, as indicated. After washing, bound materials were eluted and subjected to SDS–12% PAGE together with 10% aliquots of input materials. Eluted ATF6α and ATF6β were detected by immunoblotting using anti-ATF6α and anti-ATF6β antibodies, respectively.
FIG. 10
FIG. 10
Model for mammalian UPR. Under normal growth conditions, the general transcription factor NF-Y constitutively occupies the CCAAT part of ERSE. On the other hand, both ATF6α and ATF6β are sequestered from the CCACG part of ERSE due to their anchoring in the ER membrane. Upon accumulation of unfolded proteins in the ER, both ATF6α and ATF6β are cleaved, allowing entrance of the resulting N-terminal fragments into the nucleus, where homo- and/or heterodimers of ATF6α and ATF6β bind to both NF-YC and CCACG. ER stress-induced formation of the transcription factor complex ERSF composed of NF-Y and ATF6α/β culminates in induced transcription of UPR target genes.

References

    1. Bellorini M, Zemzoumi K, Farina A, Berthelsen J, Piaggio G, Mantovani R. Cloning and expression of human NF-YC. Gene. 1997;193:119–125. - PubMed
    1. Dignam J D, Lebovitz R M, Roeder R G. Accurate transcription initiation by RNA polymerase II in a soluble extract from isolated mammalian nuclei. Nucleic Acids Res. 1983;11:1475–1489. - PMC - PubMed
    1. Dooley K A, Millinder S, Osborne T F. Sterol regulation of 3-hydroxy-3-methylglutaryl-coenzyme A synthase gene through a direct interaction between sterol regulatory element binding protein and the trimeric CCAAT-binding factor/nuclear factor Y. J Biol Chem. 1998;273:1349–1356. - PubMed
    1. Ericsson J, Jackson S M, Edwards P A. Synergistic binding of sterol regulatory element-binding protein and NF-Y to the farnesyl diphosphate synthase promoter is critical for sterol-regulated expression of the gene. J Biol Chem. 1996;271:24359–24364. - PubMed
    1. Haze K, Yoshida H, Yanagi H, Yura T, Mori K. Mammalian transcription factor ATF6 is synthesized as a transmembrane protein and activated by proteolysis in response to endoplasmic reticulum stress. Mol Biol Cell. 1999;10:3787–3799. - PMC - PubMed

Publication types

MeSH terms