Enhanced CXCR4 Expression Associates with Increased Gene Body 5-Hydroxymethylcytosine Modification but not Decreased Promoter Methylation in Colorectal Cancer
- PMID: 32110952
- PMCID: PMC7139960
- DOI: 10.3390/cancers12030539
Enhanced CXCR4 Expression Associates with Increased Gene Body 5-Hydroxymethylcytosine Modification but not Decreased Promoter Methylation in Colorectal Cancer
Erratum in
-
Correction: Stuckel, et al.; Enhanced CXCR4 Expression Associates with Increased Gene Body 5-Hydroxymethylcytosine Modification but Not Decreased Promoter Methylation in Colorectal Cancer. Cancers 2020, 12, 539.Cancers (Basel). 2020 Oct 23;12(11):3104. doi: 10.3390/cancers12113104. Cancers (Basel). 2020. PMID: 33114273 Free PMC article.
Abstract
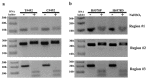
In colorectal cancer (CRC), upregulation of the C-X-C motif chemokine receptor 4 (CXCR4) is correlated with metastasis and poor prognosis, highlighting the need to further elucidate CXCR4's regulation in CRC. For the first time, DNA methylation and 5-hydroxymethylcytosine aberrations were investigated to better understand the epigenetic regulation of CXCR4 in CRC. CXCR4 expression levels were measured using qPCR and immunoblotting in normal colon tissues, primary colon cancer tissues and CRC cell lines. Publicly available RNA-seq and methylation data from The Cancer Genome Atlas (TCGA) were extracted from tumors from CRC patients. The DNA methylation status spanning CXCR4 gene was evaluated using combined bisulfite restriction analysis (COBRA). The methylation status in the CXCR4 gene body was analyzed using previously performed nano-hmC-seal data from colon cancers and adjacent normal colonic mucosa. CXCR4 expression levels were significantly increased in tumor stromal cells and in tumor colonocytes, compared to matched cell types from adjacent normal-appearing mucosa. CXCR4 promoter methylation was detected in a minority of colorectal tumors in the TCGA. The CpG island of the CXCR4 promoter showed increased methylation in three of four CRC cell lines. CXCR4 protein expression differences were also notable between microsatellite stable (MSS) and microsatellite instable (MSI) tumor cell lines. While differential methylation was not detected in CXCR4, enrichment of 5-hydroxymethylcytosine (5hmC) in CXCR4 gene bodies in CRC was observed compared to adjacent mucosa.
Keywords: 5-hydroxymethylcytosine; CXCR4 gene expression; DNA methylation; colorectal cancer; epigenetic regulation.
Conflict of interest statement
The authors declare no conflict of interest.
Figures
References
-
- Wojcechowskyj J.A., Didigu C.A., Lee J.Y., Parrish N.F., Sinha R., Hahn B., Bushman F.D., Jensen S.T., Seeholzer S.H., Doms R.W. Quantitative phosphoproteomics reveals extensive cellular reprogramming during HIV-1 entry. Cell Host Microbe. 2013;13:613–623. doi: 10.1016/j.chom.2013.04.011. - DOI - PMC - PubMed
-
- Klein S., Abraham M., Bulvik B., Dery E., Weiss I.D., Barashi N., Abramovitch R., Wald H., Harel Y., Olam D., et al. CXCR4 Promotes Neuroblastoma Growth and Therapeutic Resistance through miR-15a/16-1–Mediated ERK and BCL2/Cyclin D1 Pathways. Cancer Res. 2017;78:1471–1483. doi: 10.1158/0008-5472.CAN-17-0454. - DOI - PubMed
-
- Barbero S., Bonavia R., Bajetto A., Porcile C., Pirani P., Ravetti J.L., Zona G.L., Spaziante R., Florio T., Schettini G. Stromal Cell-derived Factor 1α Stimulates Human Glioblastoma Cell Growth through the Activation of Both Extracellular Signal-regulated Kinases 1/2 and Akt. Cancer Res. 2003;63:1969. - PubMed
Grants and funding
LinkOut - more resources
Full Text Sources
