Estrogen-initiated transformation of prostate epithelium derived from normal human prostate stem-progenitor cells
- PMID: 21427218
- PMCID: PMC3100619
- DOI: 10.1210/en.2010-1377
Estrogen-initiated transformation of prostate epithelium derived from normal human prostate stem-progenitor cells
Abstract
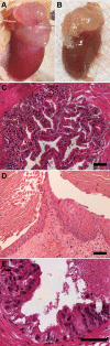
The present study sought to determine whether estrogens with testosterone support are sufficient to transform the normal human prostate epithelium and promote progression to invasive adenocarcinoma using a novel chimeric prostate model. Adult prostate stem/early progenitor cells were isolated from normal human prostates through prostasphere formation in three-dimensional culture. The stem/early progenitor cell status and clonality of prostasphere cells was confirmed by immunocytochemistry and Hoechst staining. Normal prostate progenitor cells were found to express estrogen receptor α, estrogen receptor β, and G protein-coupled receptor 30 mRNA and protein and were responsive to 1 nm estradiol-17β with increased numbers and prostasphere size, implicating them as direct estrogen targets. Recombinants of human prostate progenitor cells with rat urogenital sinus mesenchyme formed chimeric prostate tissue in vivo under the renal capsule of nude mice. Cytodifferentiation of human prostate progenitor cells in chimeric tissues was confirmed by immunohistochemistry using epithelial cell markers (p63, cytokeratin 8/18, and androgen receptor), whereas human origin and functional differentiation were confirmed by expression of human nuclear antigen and prostate-specific antigen, respectively. Once mature tissues formed, the hosts were exposed to elevated testosterone and estradiol-17β for 1-4 months, and prostate pathology was longitudinally monitored. Induction of prostate cancer in the human stem/progenitor cell-generated prostatic tissue was observed over time, progressing from normal histology to epithelial hyperplasia, prostate intraepithelial neoplasia, and prostate cancer with local renal invasion. These findings provide the first direct evidence that human prostate progenitor cells are estrogen targets and that estradiol in an androgen-supported milieu is a carcinogen for human prostate epithelium.
Figures
References
-
- Prins GS. 1997. Developmental estrogenization of the prostate gland. In: Naz RK. ed. Prostate: basic and clinical aspects. Chap 10 Boca Raton, FL:CRC Press; 247–265
-
- Ellem SJ, Risbridger GP. 2007. Treating prostate cancer: a rationale for targeting local oestrogens. Nat Rev 7:621–627 - PubMed
Publication types
MeSH terms
Substances
Grants and funding
LinkOut - more resources
Full Text Sources
Medical
Research Materials
