Apoptosis of hippocampal pyramidal neurons is virus independent in a mouse model of acute neurovirulent picornavirus infection
- PMID: 19608874
- PMCID: PMC2716965
- DOI: 10.2353/ajpath.2009.081126
Apoptosis of hippocampal pyramidal neurons is virus independent in a mouse model of acute neurovirulent picornavirus infection
Abstract
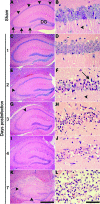
Many viruses, including picornaviruses, have the potential to infect the central nervous system (CNS) and stimulate a neuroinflammatory immune response, especially in infants and young children. Cognitive deficits associated with CNS picornavirus infection result from injury and death of neurons that may occur due to direct viral infection or during the immune responses to virus in the brain. Previous studies have concluded that apoptosis of hippocampal neurons during picornavirus infection is a cell-autonomous event triggered by direct neuronal infection. However, these studies assessed neuron death at time points late in infection and during infections that lead to either death of the host or persistent viral infection. In contrast, many neurovirulent picornavirus infections are acute and transient, with rapid clearance of virus from the host. We provide evidence of hippocampal pathology in mice acutely infected with the Theiler's murine encephalomyelitis picornavirus. We found that CA1 pyramidal neurons exhibited several hallmarks of apoptotic death, including caspase-3 activation, DNA fragmentation, and chromatin condensation within 72 hours of infection. Critically, we also found that many of the CA1 pyramidal neurons undergoing apoptosis were not infected with virus, indicating that neuronal cell death during acute picornavirus infection of the CNS occurs in a non-cell-autonomous manner. These observations suggest that therapeutic strategies other than antiviral interventions may be useful for neuroprotection during acute CNS picornavirus infection.
Figures
References
-
- Muir P, van Loon AM. Enterovirus infections of the central nervous system. Intervirology. 1997;40:153–166. - PubMed
-
- Johnson RT. Emerging viral infections of the nervous system. J Neurovirol. 2003;9:140–147. - PubMed
-
- Power C, Zhang K, van Marle G. Comparative neurovirulence in lentiviral infections: The roles of viral molecular diversity and select proteases. J Neurovirol. 2004;10 Suppl 1:113–117. - PubMed
-
- Griffin DE. Neuronal cell death in alphavirus encephalomyelitis. Curr Top Microbiol Immunol. 2005;289:57–77. - PubMed
-
- Bonderoff JM, Lloyd RE. CVB translation: lessons from the polioviruses. Curr Top Microbiol Immunol. 2008;323:123–147. - PubMed
Publication types
MeSH terms
Grants and funding
LinkOut - more resources
Full Text Sources
Research Materials
Miscellaneous
