Conversion of Bacillus subtilis OhrR from a 1-Cys to a 2-Cys peroxide sensor
- PMID: 18586944
- PMCID: PMC2519526
- DOI: 10.1128/JB.00576-08
Conversion of Bacillus subtilis OhrR from a 1-Cys to a 2-Cys peroxide sensor
Abstract
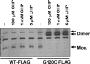
OhrR proteins can be divided into two groups based on their inactivation mechanism: 1-Cys (represented by Bacillus subtilis OhrR) and 2-Cys (represented by Xanthomonas campestris OhrR). A conserved cysteine residue near the amino terminus is present in both groups of proteins and is initially oxidized to the sulfenic acid. The B. subtilis 1-Cys OhrR protein is subsequently inactivated by formation of a mixed-disulfide bond with low-molecular-weight thiols or by cysteine overoxidation to sulfinic and sulfonic acids. In contrast, the X. campestris 2-Cys OhrR is inactivated when the initially oxidized cysteine sulfenate forms an intersubunit disulfide bond with a second Cys residue from the other subunit of the protein dimer. Here, we demonstrate that the 1-Cys B. subtilis OhrR can be converted into a 2-Cys OhrR by introducing another cysteine residue in either position 120 or position 124. Like the X. campestris OhrR protein, these mutants (G120C and Q124C) are inactivated by intermolecular disulfide bond formation. Analysis of oxidized 2-Cys variants both in vivo and in vitro indicates that intersubunit disulfide bond formation can occur simultaneously at both active sites in the protein dimer. Rapid formation of intersubunit disulfide bonds protects OhrR against irreversible overoxidation in the presence of strong oxidants much more efficiently than do the endogenous low-molecular-weight thiols.
Figures
References
-
- Carmel-Harel, O., and G. Storz. 2000. Roles of the glutathione- and thioredoxin-dependent reduction systems in the Escherichia coli and Saccharomyces cerevisiae responses to oxidative stress. Annu. Rev. Microbiol. 54439-461. - PubMed
-
- Cussiol, J. R., S. V. Alves, M. A. de Oliveira, and L. E. Netto. 2003. Organic hydroperoxide resistance gene encodes a thiol-dependent peroxidase. J. Biol. Chem. 27811570-11578. - PubMed
-
- Derre, I., G. Rapoport, and T. Msadek. 2000. The CtsR regulator of stress response is active as a dimer and specifically degraded in vivo at 37 degrees C. Mol. Microbiol. 38335-347. - PubMed
Publication types
MeSH terms
Substances
LinkOut - more resources
Full Text Sources
