EPHA2/EFNA1 expression in human gastric cancer
- PMID: 15649254
- PMCID: PMC11159818
- DOI: 10.1111/j.1349-7006.2005.00007.x
EPHA2/EFNA1 expression in human gastric cancer
Abstract
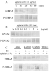
The erythropoietin-producing hepatocellular (EPH)A2 receptor, tyrosine kinase, is overexpressed and phosphorylated in several types of human tumors and has been associated with malignant transformation. A recent report, however, indicated that stimulation of the EPHA2 receptor ligand, ephrinA1 (EFNA1), inhibits the growth of EPHA2-expressing breast cancer. The authors examined the expression of EPHA2 and EFNA1 using semiquantitative reverse transcription-polymerase chain reaction (RT-PCR) in four gastric cancer cell lines and 49 primary gastric cancer samples, as well as in normal gastric tissue. EPHA2 was more highly expressed in tumor tissue than in normal tissue in 27 cases (55%). EFNA1 was overexpressed in tumor tissue in 28 cases (57%). No significant correlation was detected between the expression levels and histologic features such as tumor size, age, vessel invasion, or lymph node involvement. However, EPHA2 overexpression was more prominent in macroscopic type 3 and 4 tumors than in type 1 or 2 advanced gastric cancer. The authors observed EPHA2 expression in three of the four gastric cancer cell lines (AGS, KATO3, and MKN74) that were examined. In one cell line, TMK1, EPHA2 expression was barely detectable using northern blotting, RT-PCR, and western blotting. In contrast, EFNA1 was detected in all cell lines. In the gastric cancer cell lines that endogenously expressed EPHA2, stimulation with ephrinA1-Fc led to decreased EPHA2 protein expression and increased EPHA2 phosphorylation. Finally, the growth of EPHA2-expressing cells was inhibited by repetitive stimulation with soluble ephrinA1-Fc. Taken together, these findings suggest that EPHA2 and EFNA1 expression may influence the behavior of human gastric cancer.
Figures
References
-
- Bohme B, VandenBos T, Cerretti DP, Park LS, Holtrich U, Rubsamen‐Waigmann H, Strebhardt K. Cell‐cell adhesion mediated by binding of membrane‐anchored ligand LERK‐ 2 to the EPH‐related receptor human embryonal kinase 2 promotes tyrosine kinase activity. J Biol Chem 1996; 271: 24747–52. - PubMed
-
- Mellitzer G, Xu Q, Wilkinson DG. Eph receptors and ephrins restrict cell intermingling and communication. Nature 1999; 400: 77–81. - PubMed
-
- George SE, Simokat K, Hardin J, Chisholm AD. The VAB‐1 Eph receptor tyrosine kinase functions in neural and epithelial morphogenesis in C. elegans. Cell 1998; 92: 633–43. - PubMed
-
- Pandey A, Shao H, Marks RM, Polverini PJ, Dixit VM. Role of B61, the ligand for the Eck receptor tyrosine kinase, in TNF‐ alpha‐induced angiogenesis. Science 1995; 268: 567–9. - PubMed
Publication types
MeSH terms
Substances
LinkOut - more resources
Full Text Sources
Other Literature Sources
Medical
Miscellaneous
