Skip to main page content
U.S. flag

An official website of the United States government

Dot gov

The .gov means it’s official.
Federal government websites often end in .gov or .mil. Before sharing sensitive information, make sure you’re on a federal government site.

Https

The site is secure.
The https:// ensures that you are connecting to the official website and that any information you provide is encrypted and transmitted securely.

Access keys NCBI Homepage MyNCBI Homepage Main Content Main Navigation
. 2003 Aug 15;17(16):2021-35.
doi: 10.1101/gad.1103403. Epub 2003 Jul 31.

Epithelial cancer in Fanconi anemia complementation group D2 (Fancd2) knockout mice

Affiliations

Epithelial cancer in Fanconi anemia complementation group D2 (Fancd2) knockout mice

Scott Houghtaling et al. Genes Dev. .

Abstract

Fanconi anemia (FA) is a genetic disorder characterized by hypersensitivity to DNA damage, bone marrow failure, congenital defects, and cancer. To further investigate the in vivo function of the FA pathway, mice with a targeted deletion in the distally acting FA gene Fancd2 were created. Similar to human FA patients and other FA mouse models, Fancd2 mutant mice exhibited cellular sensitivity to DNA interstrand cross-links and germ cell loss. In addition, chromosome mispairing was seen in male meiosis. However, Fancd2 mutant mice also displayed phenotypes not observed in other mice with disruptions of proximal FA genes. These include microphthalmia, perinatal lethality, and epithelial cancers, similar to mice with Brca2/Fancd1 hypomorphic mutations. These additional phenotypes were not caused by defects in the ATM-mediated S-phase checkpoint, which was intact in primary Fancd2 mutant fibroblasts. The phenotypic overlap between Fancd2-null and Brca2/Fancd1 hypomorphic mice is consistent with a common function for both proteins in the same pathway, regulating genomic stability.

PubMed Disclaimer

Figures

Figure 1.
Figure 1.
Targeted disruption of murine Fancd2–/– gene. (A) Schematic of targeting vector, wild-type Fancd2 locus, targeted allele with neo–ura cassette, and targeted allele without neo–ura cassette. Homologous integration of the targeting plasmid replaces Fancd2 exons 26 and 27with a neo–ura cassette flanked by lox sites. The binding site for the probe is indicated by a black bar. (B) Southern blot analysis using genomic DNA from targeted ES cell clones digested with XbaI. Homologous integration of the targeting plasmid eliminates an XbaI site in intron 26, resulting in a nontargeted band at 3.6 kb and a wild-type band at 8.3 kb. (C) PCR genotyping using genomic DNA from wild-type, heterozygous, and mutant tail as templates. Mutant Fancd2 alleles with and without the neo–ura cassette are shown. The mutant band is 556 bp (with neo–ura) or 459 bp (without neo–ura). The wild-type band is 303 bp. (D) Western blot with anti-Fancd2 antibody on protein lysate from Fancd2 mutant, Fanca/c double mutant, wild-type, and Fanca mutant testes. Fancd2-S (155 kD) and Fancd2-L (162 kD) are visible in wild-type extracts. Only Fancd2-S is detectable in Fanca/c mutant and Fanca mutant extracts. No signal is detectable in Fand2 mutant extract. (E) Western blot with anti-Fancd2 antibody on protein lysate from wild-type and Fancd2 mutant MEFs either untreated or irradiated with 10 Gy. Fancd2 (155/162 kD) is detected in wild-type extracts but absent from Fancd2 mutant extracts. The absence of a band at 88 kD, corresponding to the predicted size of truncated Fancd2, is indicated.
Figure 2.
Figure 2.
Germ-cell and meiotic pairing abnormalities in Fancd2–/– mice. (A,B) H&E staining of testis sections from 7-week-old wild-type (A) or Fancd2–/– (B) littermates. All stages of spermatogenesis are seen in the wild-type adult testes. Fancd2–/– testes show a mosaic pattern of normal-appearing tubules (tubule 1), tubules with vacuolated Sertoli cell cytoplasm and no germ cells (tubule 2) and tubules with vacuolated Sertoli cell cytoplasm and decreased numbers of spermatocytes and spermatids (tubule 3). Magnification, 20×. (C,D) TUNEL staining of testes sections from 7-week-old wild-type (C) and Fancd2–/– (D) littermates. Occasional cells were labeled in wild-type tubules near the basement membrane, whereas Fancd2–/– testes contain tubules with multiple numbers of apoptotic spermatocytes. The nuclei of apoptotic cells are TUNEL-labeled with Cy3-dCTP and fluoresce red. Magnification, 20×. (EH) Meiotic pairing abnormalities in Fancd2–/– spermatocytes detected by indirect immunofluorescence staining for Scp3 (green) and Rad51 (red). (E) Zygotene wild-type nucleus. (F) Zygotene Fancd2–/– nucleus with unusually long unpaired axial elements. (G) Late zygotene Fancd2–/– nucleus with multiple synaptic abnormalities. (H) Pachytene Fancd2–/– nucleus with unpaired (open arrowheads) and mispaired homologs (closed arrowheads). Magnification, 100×.
Figure 3.
Figure 3.
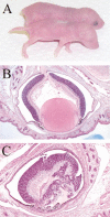
Fancd2 mutants are predisposed to microphthalmia. (A) Fancd2 mutants are smaller than wild-type controls at postnatal day 1. Microphthalmia is visible in Fancd2 mutants. (B) Histology of eye from a wild-type control pup (postnatal day 1). Magnification, 50×. (C) Representative histology of eye from a Fancd2–/– pup (postnatal day 1) shows a disorganized retina with lack of a distinct chamber or lens development. Magnification, 100×.
Figure 4.
Figure 4.
Histology of carcinomas and survival curves for Fancd2 mutants and controls. Tumor-free (A; both adenoma and carcinoma) and carcinoma-free (B; only carcinoma) survival curves are shown for the combination of mixed and 129S4 populations. P values were determined by Logrank test. (CF) H&E-stained paraffin-embedded sections of tumors from Fancd2–/– animals. Arrows indicate mitotic cells with condensed chromatin. Magnification, 200×. (C) Ovarian adenocarcinoma with large acini lined by tall columnar cells having abundant eosinophilic cytoplasm and highly pleomorphic hyperchromatic nuclei (129S4, 3 mo). (D) Mammary adenocarcinoma in which large clusters of mitotically active and pleomorphic cells were found, ranging from columnar cells to nests of small, undifferentiated cells in clusters (mixed, 13 mo). (E) Lung adenocarcinoma of broncho-alveolar origin, with rows of columnar epithelial cells having a high nucleus-to-cytoplasm ratio lining septa, sometimes forming papillae or filling air spaces (129S4, 13 mo). (F) Hepatocellular carcinoma is multinodular and well differentiated. The neoplastic cells vary from being smaller than normal hepatocytes to 2×–3× larger (mixed background, 18 mo).
Figure 5.
Figure 5.
DNA damage sensitivity and S-phase checkpoint in Fancd2–/– MEFs and mice. Primary MEFs were challenged with increasing doses of mitomycin C (A), 4′-hydroxymethyl-4,5′,8-trimethylpsoralen (HMT) plus UVA (PUVA; B), or ionizing radiation (C). (•) Wild-type control MEFs; (○) Fancd2 mutant MEFs; (▴) Fancc mutant MEFs. Experiments were performed in quadruplicate. Each data point represents the mean ± standard error of the mean (S.E.M.). (D) Survival curve of control (▪, •) and Fancd2 mutant (□, ○) mice following a dose of 9 (solid line) and 10 (broken line) Gy of whole-body irradiation. (E,F) Primary Fancd2–/– MEFs have an intact S-phase checkpoint. DNA synthesis was measured 30 min after treatment with 10 Gy of IR (E) or 0.5 ng/mL H-methoxy-tripsoralen (F) and is represented as the percentage of untreated controls. As a control, cells were also pretreated with 10 mM caffeine (caff). Experiments were performed in quintuplet. Error bars indicate the S.E.M.
Figure 6.
Figure 6.
Interaction of Rad51/Brca2 and Rad51 foci formation. (A) Whole-cell lysates from mouse testis of the indicated genotypes were separated by SDS-PAGE and probed with an antibody against Rad51. (B) Anti-Brca2 antibodies were used to immunoprecipitate protein complexes. Complexes were separated by SDS-PAGE and probed with an antibody against Rad51. “sn” indicates supernatant from immunocomplexes to compare bound versus unbound fraction. (C) Rad51 foci formation in wild-type and Fancd2–/– MEFs either untreated (–IR) or following 12 Gy of ionizing radiation (+IR). Cell nuclei were counterstained with DAPI (blue).

Comment in

  • The Fanconi road to cancer.
    D'Andrea AD. D'Andrea AD. Genes Dev. 2003 Aug 15;17(16):1933-6. doi: 10.1101/gad.1128303. Epub 2003 Jul 31. Genes Dev. 2003. PMID: 12893780 Review. No abstract available.

References

    1. Adelfalk, C., Lorenz, M., Serra, V., von Zglinicki, T., Hirsch-Kauffmann, M., and Schweiger, M. 2001. Accelerated telomere shortening in Fanconi anemia fibroblasts—A longitudinal study. FEBS Lett. 506: 22–26. - PubMed
    1. Akkari, Y.M., Bateman, R.L., Reifsteck, C.A., Olson, S.B., and Grompe, M. 2000. DNA replication is required to elicit cellular responses to psoralen-induced DNA interstrand cross-links. Mol. Cell Biol. 20: 8283–8289. - PMC - PubMed
    1. Alter, B.P. 1993. Fanconi's anaemia and its variability. Br. J. Haematol. 85: 9–14. - PubMed
    1. Artandi, S.E., Chang, S., Lee, S.L., Alson, S., Gottlieb, G.J., Chin, L., and DePinho, R.A. 2000. Telomere dysfunction promotes non-reciprocal translocations and epithelial cancers in mice. Nature 406: 641–645. - PubMed
    1. Auerbach, A.D., Buchwald, M., and Joenje, H. 2001. Fanconi anemia. In The Metabolic and molecular basis of inherited disease (ed. C.R. Scriver et al.), pp. 753–783. McGraw-Hill, New York.

Publication types

MeSH terms