Tyrosine-kinase expression profiles in human gastric cancer cell lines and their modulations with retinoic acids
- PMID: 12671705
- PMCID: PMC2376380
- DOI: 10.1038/sj.bjc.6600821
Tyrosine-kinase expression profiles in human gastric cancer cell lines and their modulations with retinoic acids
Abstract
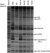
Many protein tyrosine kinases are key regulators involved in cellular growth, differentiation, development, apoptosis and signal transduction pathways. Obtaining a comprehensive tyrosine-kinase expression profile in tumour cells is essential to learning more about their oncogenic potentials and responses to various chemotherapeutic reagents - such as retinoic acid, which has been shown to suppress the growth of gastric cancer cells and modulate gene expression. Expression of tyrosine kinases in retionic acid-treated cancer cells was investigated by reverse trancriptase-polymerase chain reaction (RT-PCR) and a novel restriction analysis of gene expression (RAGE) display technique. We first established comprehensive tyrosine-kinase profiles in different human gastric cancer cell lines. In cells treated with 9-cis-retinoic acid or all-trans-retinoic acid, we found that two PTKs (Eph and Hek5) appeared to be upregulated. In the present study, we demonstrate an efficient and simple RAGE approach for examining tyrosine kinases' expression in tumour cells and their alterations following drug treatments.
Figures
 
              
              
              
              
                
                
                 
              
              
              
              
                
                
                 
              
              
              
              
                
                
                 
              
              
              
              
                
                
                 
              
              
              
              
                
                
                 
              
              
              
              
                
                
                References
- 
    - Bouillet P, Oulad-Abdelghani M, Vicaire S, Garnier JM, Schuhbaur B, Dolle P, Chambon P (1995) Efficient cloning of cDNAs of retinoic acid-responsive genes in P19 embryonal carcinoma cells and characterization of a novel mouse gene, Stra1 (mouse LERK-2/Eplg2). Dev Biol 170: 420–433 - PubMed
 
- 
    - Bruckner K, Pasquale EB, Klein R (1997) Tyrosine phosphorylation of transmembrane ligands for Eph receptors. Science 275: 1640–1643 - PubMed
 
- 
    - Chambon P (1994) The retinoid signaling pathway: molecular and genetic analyses. Semin Cell Biol 5: 115–125 - PubMed
 
Publication types
MeSH terms
Substances
LinkOut - more resources
- Full Text Sources
- Other Literature Sources
- Medical
- Miscellaneous
 
        