The ClpXP ATP-dependent protease regulates flagellum synthesis in Salmonella enterica serovar typhimurium
- PMID: 11790733
- PMCID: PMC139528
- DOI: 10.1128/JB.184.3.645-653.2002
The ClpXP ATP-dependent protease regulates flagellum synthesis in Salmonella enterica serovar typhimurium
Abstract
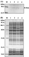
The ClpXP protease is a member of the ATP-dependent protease family and plays a dynamic role in the control of availability of regulatory proteins and the breakdown of abnormal and misfolded proteins. The proteolytic activity is rendered by the ClpP component, while the substrate specificity is determined by the ClpX component that has ATPase activity. We describe here a new role of the ClpXP protease in Salmonella enterica serovar Typhimurium in which ClpXP is involved in the regulation of flagellum synthesis. Cells deleted for ClpXP show "hyperflagellate phenotype," exhibit overproduction of the flagellar protein, and show a fourfold increase in the rate of transcription of the fliC encoding flagellar filament. The assay for promoter activity of the genes responsible for expression of the fliC showed that the depletion of ClpXP results in dramatic enhancement of the expression of the fliA encoding sigma factor final sigma(28), leaving the expression level of the flhD master operon lying at the top of the transcription hierarchy of flagellar regulon almost normal. These results suggest that the ClpXP may be responsible for repressing the expression of flagellar regulon through the control of the FlhD/FlhC master regulators at the posttranscriptional and/or posttranslational levels. Proteome analysis of proteins secreted from the mutant cells deficient for flhDC and clpXP genes demonstrated that the DeltaflhD mutation abolished the enhanced effect by DeltaclpXP mutation on the production of flagellar proteins, suggesting that the ClpXP possibly defines a regulatory pathway affecting the expression of flagellar regulon that is dependent on FlhD/FlhC master regulators.
Figures
References
-
- de Vries, N., K. A. Zwaagstra, J. H. Huis in’t Veld, F. van Knapen, F. G. van Zijderveld, and J. G. Kusters. 1998. Production of monoclonal antibodies specific for the i and 1,2 flagellar antigens of Salmonella typhimurium and characterization of their respective epitopes. Appl. Environ. Microbiol. 64:5033–5038. - PMC - PubMed
Publication types
MeSH terms
Substances
LinkOut - more resources
Full Text Sources
Other Literature Sources
