Recruitment of the class II phosphoinositide 3-kinase C2beta to the epidermal growth factor receptor: role of Grb2
- PMID: 11533253
- PMCID: PMC99811
- DOI: 10.1128/MCB.21.19.6660-6667.2001
Recruitment of the class II phosphoinositide 3-kinase C2beta to the epidermal growth factor receptor: role of Grb2
Abstract
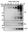
Previously we demonstrated that the class II phosphoinositide 3-kinase C2beta (PI3K-C2beta) is rapidly recruited to a phosphotyrosine signaling complex containing the activated receptor for epidermal growth factor (EGF). Although this association was shown to be dependent upon specific phosphotyrosine residues present on the EGF receptor, the underlying mechanism remained unclear. In this study the interaction between PI3K-C2beta and the EGF receptor is competitively attenuated by synthetic peptides derived from each of three proline-rich motifs present within the N-terminal region of the PI3K. Further, a series of N-terminal PI3K-C2beta fragments, truncated prior to each proline-rich region, bound the receptor with decreased efficiency. A single proline-rich region was unable to mediate receptor association. Finally, an equivalent N-terminal fragment of PI3K-C2alpha that lacks similar proline-rich motifs was unable to affinity purify the activated EGF receptor from cell lysates. Since these findings revealed that the interaction between the EGF receptor and PI3K-C2beta is indirect, we sought to identify an adaptor molecule that could mediate their association. In addition to the EGF receptor, PI3K-C2beta(2-298) also isolated both Shc and Grb2 from A431 cell lysates. Recombinant Grb2 directly bound PI3K-C2beta in vitro, and this effect was reproduced using either SH3 domain expressed as a glutathione S-transferase (GST) fusion. Interaction with Grb2 dramatically increased the catalytic activity of this PI3K. The relevance of this association was confirmed when PI3K-C2beta was isolated by coimmunoprecipitation with anti-Grb2 antibody from numerous cell lines. Using immobilized, phosphorylated EGF receptor, recombinant PI3K-C2beta was only purified in the presence of Grb2. We conclude that proline-rich motifs within the N terminus of PI3K-C2beta mediate the association of this enzyme with activated EGF receptor and that this interaction involves the Grb2 adaptor.
Figures
 
              
              
              
              
                
                
                 
              
              
              
              
                
                
                 
              
              
              
              
                
                
                 
              
              
              
              
                
                
                 
              
              
              
              
                
                
                 
              
              
              
              
                
                
                 
              
              
              
              
                
                
                 
              
              
              
              
                
                
                 
              
              
              
              
                
                
                 
              
              
              
              
                
                
                References
- 
    - Arcaro A, Volinia S, Zvelebil M J, Stein R, Watton S J, Layton M J, Gout I, Ahmadi K, Downward J, Waterfield M D. Human PI3-kinase C2β—the role of calcium and the C2 domain in enzyme activity. J Biol Chem. 1998;273:33082–33091. - PubMed
 
- 
    - Brown R A, Domin J, Arcaro A, Waterfield M D, Shepherd P R. Insulin activates the alpha isoform of class II phosphoinositide 3-kinase. J Biol Chem. 1999;274:14529–14532. - PubMed
 
Publication types
MeSH terms
Substances
LinkOut - more resources
- Full Text Sources
- Molecular Biology Databases
- Research Materials
- Miscellaneous
 
        