Skip to main page content
U.S. flag

An official website of the United States government

Dot gov

The .gov means it’s official.
Federal government websites often end in .gov or .mil. Before sharing sensitive information, make sure you’re on a federal government site.

Https

The site is secure.
The https:// ensures that you are connecting to the official website and that any information you provide is encrypted and transmitted securely.

Access keys NCBI Homepage MyNCBI Homepage Main Content Main Navigation
. 2001 Aug 1;15(15):1913-25.
doi: 10.1101/gad.903001.

PDGF autocrine stimulation dedifferentiates cultured astrocytes and induces oligodendrogliomas and oligoastrocytomas from neural progenitors and astrocytes in vivo

Affiliations

PDGF autocrine stimulation dedifferentiates cultured astrocytes and induces oligodendrogliomas and oligoastrocytomas from neural progenitors and astrocytes in vivo

C Dai et al. Genes Dev. .

Abstract

We present evidence that some low-grade oligodendrogliomas may be comprised of proliferating glial progenitor cells that are blocked in their ability to differentiate, whereas malignant gliomas have additionally acquired other mutations such as disruption of cell cycle arrest pathways by loss of Ink4a-Arf. We have modeled these effects in cell culture and in mice by generating autocrine stimulation of glia through the platelet-derived growth factor receptor (PDGFR). In cell culture, PDGF signaling induces proliferation of glial precursors and blocks their differentiation into oligodendrocytes and astrocytes. In addition, coexpression of PDGF and PDGF receptors has been demonstrated in human gliomas, implying that autocrine stimulation may be involved in glioma formation. In this study, using somatic cell type-specific gene transfer we investigated the functions of PDGF autocrine signaling in gliomagenesis by transferring the overexpression of PDGF-B into either nestin-expressing neural progenitors or glial fibrillary acidic protein (GFAP)-expressing astrocytes both in cell culture and in vivo. In cultured astrocytes, overexpression of PDGF-B caused significant increase in proliferation rate of both astrocytes and neural progenitors. Furthermore, PDGF gene transfer converted cultured astrocytes into cells with morphologic and gene expression characteristics of glial precursors. In vivo, gene transfer of PDGF to neural progenitors induced the formation of oligodendrogliomas in about 60% of mice by 12 wk of age; PDGF transfer to astrocytes induced the formation of either oligodendrogliomas or mixed oligoastrocytomas in about 40% of mice in the same time period. Loss of Ink4a-Arf, a mutation frequently found in high-grade human gliomas, resulted in shortened latency and enhanced malignancy of gliomas. The highest percentage of PDGF-induced malignant gliomas arose from of Ink4a-Arf null progenitor cells. These data suggest that chronic autocrine PDGF signaling can promote a proliferating population of glial precursors and is potentially sufficient to induce gliomagenesis. Loss of Ink4a-Arf is not required for PDGF-induced glioma formation but promotes tumor progression toward a more malignant phenotype.

PubMed Disclaimer

Figures

Figure 1
Figure 1
Dedifferentiation of cultured astrocytes to glial progenitors caused by overexpression of PDGF-B chain. (A) The proliferation rate of primary astrocytes (from Gtv-a mouse) was significantly increased by overexpression of PDGF-B. The details of generating growth curve are described in Material and Methods. (B) Giemsa staining shows the morphology of cultured cells infected with RCAS–LacZ and RCAS–PBIG from Gtv-a, Ink4a–Arf+/+ mouse. Fluorescence microscopy shows that the cells infected with RCAS–PBIG are expressing green fluorescent protein. Both photomicrographs are 100× magnification; bars, 100 μm. (C) Western blot analyses show the increased expression of molecular markers for glial precursors in the astrocytes after RCAS–PBIG infection. Two lines of RCAS–lacZ-infected astrocytes were used as control. (PLP) Myelin proteolipid protein; (PDGFR) platelet-derived growth factor receptor; (GFP) green fluorescent protein; (Id4) inhibitor of binding 4, a dominant negative HLH protein. α-Tubulin was used as loading control.
Figure 2
Figure 2
Reversion of PDGF-induced phenotypic effects by blocking PDGF receptor kinase. Astrocytes (1 × 105) were plated and grown in culture either with or without 1 μM PTK787 that inhibits the PDGF receptor kinase. The cells were counted after 14 d. (A) The proliferation of RCAS–PBIG-infected cultured astrocytes was inhibited by 1 μM PTK787 treatment. In contrast, the proliferation of RCAS–MTA-infected astrocytes was not inhibited by PTK787 (B). (MTA) Polyoma virus middle T antigen. (C) Giemsa staining shows the morphology of RCAS–PBIG-infected astrocytes with and without 1 μM PTK787 for 14 d. 100× magnification; bars, 100 μm. (D) Western blot analyses show the changes in expression pattern of molecular markers after blocking autocrine PDGF stimulation. (PLP) Myelin proteolipid protein; (PDGFR) platelet-derived growth factor receptor; (GFP) green fluorescent protein; (Id4) inhibitor of binding 4, a dominant negative HLH protein. α-Tubulin was used as loading control.
Figure 3
Figure 3
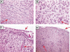
Histologic analysis of oligodendrogliomas induced from neural progenitors. PDGF-induced gliomas in Ntv-a mice with either Ink4a–Arf+/+ (A–C) or Ink4a–Arf−/− (D–F) genetic backgrounds. (A) Low magnification of H&E-stained section illustrates the diffuse infiltrating low-grade tumor (indicated by the arrow). (B) H&E-stained section shows small, homogenous tumor cells with perinuclear “halo” appearance. (C) GFAP immunostaining shows negative oligodendroglioma cells and a few positive, trapped reactive astrocytes. (D) Low magnification of H&E-stained section illustrates a high-grade oligodendroglioma. The arrow indicates the necroses. (E) H&E-stained section shows microvascular proliferation (indicated by the arrow), a criterion for diagnosing high-grade gliomas. (F) H&E-stained section shows the palisading necrosis (indicated by the arrow), a criterion for diagnosing high-grade gliomas.
Figure 4
Figure 4
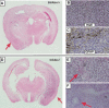
Invasion of normal brain structures by mouse glioma cells. Similar to what is seen in human gliomas, these mouse tumors migrate along the white matter tracts (A), and surround neurons (B), and collect adjacent to the pial surface of the brain and blood vessels (C,D). Arrows indicate the listed structures.
Figure 5
Figure 5
Role of Ink4a–Arf loss in PDGF-induced gliomagenesis from neural progenitors. (A) Tumor-free survival curve indicating percent of mice developing symptomatic tumors over time. All mice were sacrificed at 12 wk; clinically occult tumors are indicated by the vertical line at 12 wk. The total number of mice without detectable tumors at 12 wk was ∼40% in both animal groups as indicated by the arrows. (B) Ink4a–Arf loss significantly enhanced tumor malignancy. The grading criteria are described in the text. (O) Oligodendroglioma (WHO classification); (AO) anaplastic oligodendroglioma (WHO classification). AO tumors having the histologic feature of pseudopalisading necrosis are listed as “anaplastic with necrosis.”
Figure 6
Figure 6
Histology of mixed gliomas induced from GFAP-expressing astrocytes. (A) Low magnification of GFAP-immunostained section illustrates the coexistence of both positive astrocytoma cells and negative oligodendroglioma cells. (B) H&E-stained section shows astrocytic tumor cells with irregular nuclei and eosinophilic cytoplasm. (C) GFAP immunostaining illustrates the strongly positive astrocytoma cells; the staining pattern distinguishes them from reactive astrocytes.
Figure 7
Figure 7
Role of Ink4a–Arf loss, p53 loss in PDGF-induced gliomagenesis from Gtv-a mice. (A) Ink4a–Arf loss, but not p53 loss, resulted in a shortened tumor latency and an increased total tumor incidence (70% vs. 39%); (B) Ink4a–Arf loss also significantly enhanced the malignancy of gliomas induced from Gtv-a mice. In summary, the most malignant gliomas arose from the combination of both neural progenitor cell of origin and loss of Ink4a–Arf. (O) Oligodendroglioma (WHO classification); (AO) anaplastic oligodendroglioma (WHO classification). Final tumor incidence for each genetic background is indicated by the arrows.
Figure 8
Figure 8
Fluorescence in situ hybridization analysis of PDGF-induced gliomas. (A) Two copies of murine chromosome 4 syntenic to human chromosome 1p. Green and red signals indicate the locus of murine chromosome 4, centromere and 81.5 cM, respectively. (B) Two copies of murine chromosome 7 syntenic to human chromosome 19q. Green signals are for the centromere of murine chromosome 7, and red for chromosome 7, 23 cM.

References

    1. Andres-Barquin PJ, Hernandez MC, Israel MA. Id4 expression induces apoptosis in astrocytic cultures and is down-regulated by activation of the cAMP-dependent signal. Exp Cell Res. 1999;247:347–355. - PubMed
    1. Asakura K, Suzumura A, Rodriguez M, Sawada M. Differentiation-specific mRNA expression of a mouse bipotential glial cell line. Neurosci Lett. 1998;258:21–24. - PubMed
    1. Bello MJ, Leone PE, Vaquero J, de Campos JM, Kusak ME, Sarasa JL, Pestana A, Rey JA. Allelic loss at 1p and 19q frequently occurs in association and may represent early oncogenic events in oligodendroglial tumors. Int J Cancer. 1995;64:207–210. - PubMed
    1. Bertrand P, Rouillard D, Boulet A, Levalois C, Soussi T, Lopez BS. Increase of spontaneous intrachromosomal homologous recombination in mammalian cells expressing a mutant P53 protein. Oncogene. 1997;14:1117–1122. - PubMed
    1. Bigner SH, Mattmews MR, Rasheed BK, Wiltshire RN, Friedman HS, Friedman AH, Stenzel TT, Dawes DM, McLendon RE, Bigner DD. Molecular genetic aspects of oligodendrogliomas including analysis by comparative genomic hybridization. Am J Pathol. 1999;155:375–386. - PMC - PubMed

Publication types

MeSH terms