Skip to main page content
U.S. flag

An official website of the United States government

Dot gov

The .gov means it’s official.
Federal government websites often end in .gov or .mil. Before sharing sensitive information, make sure you’re on a federal government site.

Https

The site is secure.
The https:// ensures that you are connecting to the official website and that any information you provide is encrypted and transmitted securely.

Access keys NCBI Homepage MyNCBI Homepage Main Content Main Navigation
Comparative Study
. 2000 Nov 1;14(21):2725-36.
doi: 10.1101/gad.839400.

The endoribonuclease activity of mammalian IRE1 autoregulates its mRNA and is required for the unfolded protein response

Affiliations
Comparative Study

The endoribonuclease activity of mammalian IRE1 autoregulates its mRNA and is required for the unfolded protein response

W Tirasophon et al. Genes Dev. .

Abstract

The unfolded protein response (UPR) is a signal transduction pathway that is activated by the accumulation of unfolded proteins in the endoplasmic reticulum (ER). In Saccharomyces cerevisiae the ER transmembrane receptor, Ire1p, transmits the signal to the nucleus culminating in the transcriptional activation of genes encoding an adaptive response. Yeast Ire1p requires both protein kinase and site-specific endoribonuclease (RNase) activities to signal the UPR. In mammalian cells, two homologs, Ire1 alpha and Ire1 beta, are implicated in signaling the UPR. To elucidate the RNase requirement for mammalian Ire1 function, we have identified five amino acid residues within IRE1 alpha that are essential for RNase activity but not kinase activity. These mutants were used to demonstrate that the RNase activity is required for UPR activation by IRE1 alpha and IRE1 beta. In addition, the data support that IRE1 RNase is activated by dimerization-induced trans-autophosphorylation and requires a homodimer of catalytically functional RNase domains. Finally, the RNase activity of wild-type IRE1 alpha down-regulates hIre1 alpha mRNA expression by a novel mechanism involving cis-mediated IRE1 alpha-dependent cleavage at three specific sites within the 5' end of Ire1 alpha mRNA.

PubMed Disclaimer

Figures

Figure 1
Figure 1
Amino acid sequence alignment of the RNase domains of hIRE1α, mIRE1β, C. elegans IRE1, S. cerevisiae IRE1 and human RNase L. The conserved residues are shaded. Dashes represent gaps between residues to obtain maximal matching. Mutations that disrupt (filled circle) or do not effect (*) RNase activity are indicated. Numbers on the right are the position of the last amino acid.
Figure 2
Figure 2
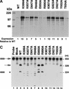
Expression and characterization of hIRE1α RNase domain mutants. (A) Expression of RNase domain mutants inversely correlates with RNase activity. COS-1 cells were transfected transiently with the expression plasmid encoding wild-type, kinase-defective (K599A), or mutant hIRE1α with the single amino acid substitutions indicated. Transfected cells were pulse-labeled with [35S]methionine and [35S]cysteine for 15 min. Cell extracts were prepared and equal numbers of counts were immunoprecipitated with anti-hIRE1α antibody and analyzed by SDS-PAGE and autoradiography. The band intensities relative to the wild-type hIRE1α are indicated below. (B) Point mutations within the RNase domain of hIRE1α do not affect kinase activity. Wild-type and mutant hIRE1α proteins were immunoprecipitated from lysates of transfected COS-1cells with anti-hIRE1α antibody. The kinase activities in the immune complexes were determined by in vitro autophosphorylation in the presence of [γ-32P]ATP. The complexes were resolved by SDS-PAGE and blotted onto a nylon membrane. The phosphorylation status was monitored by autoradiography (top). The amount of hIRE1α present in each lane was measured by Western blot analysis using mouse anti-hIRE1α antibody and rabbit anti-mouse immunoglobulin antibody conjugated with alkaline phosphatase (bottom). (C) Identification of five conserved amino acids required for hIRE1α RNase activity. An in vitro transcribed 32P-labeled HAC1 RNA fragment was incubated with immunoprecipitated wild-type or mutant hIRE1α protein. HAC1 RNA cleavage was monitored by denaturing gel electrophoresis and autoradiography. Intact HAC1 RNA substrate and its cleaved products are shown on the left. Numbers on the right represent the predicted sizes of the RNA substrate and cleaved products.
Figure 2
Figure 2
Expression and characterization of hIRE1α RNase domain mutants. (A) Expression of RNase domain mutants inversely correlates with RNase activity. COS-1 cells were transfected transiently with the expression plasmid encoding wild-type, kinase-defective (K599A), or mutant hIRE1α with the single amino acid substitutions indicated. Transfected cells were pulse-labeled with [35S]methionine and [35S]cysteine for 15 min. Cell extracts were prepared and equal numbers of counts were immunoprecipitated with anti-hIRE1α antibody and analyzed by SDS-PAGE and autoradiography. The band intensities relative to the wild-type hIRE1α are indicated below. (B) Point mutations within the RNase domain of hIRE1α do not affect kinase activity. Wild-type and mutant hIRE1α proteins were immunoprecipitated from lysates of transfected COS-1cells with anti-hIRE1α antibody. The kinase activities in the immune complexes were determined by in vitro autophosphorylation in the presence of [γ-32P]ATP. The complexes were resolved by SDS-PAGE and blotted onto a nylon membrane. The phosphorylation status was monitored by autoradiography (top). The amount of hIRE1α present in each lane was measured by Western blot analysis using mouse anti-hIRE1α antibody and rabbit anti-mouse immunoglobulin antibody conjugated with alkaline phosphatase (bottom). (C) Identification of five conserved amino acids required for hIRE1α RNase activity. An in vitro transcribed 32P-labeled HAC1 RNA fragment was incubated with immunoprecipitated wild-type or mutant hIRE1α protein. HAC1 RNA cleavage was monitored by denaturing gel electrophoresis and autoradiography. Intact HAC1 RNA substrate and its cleaved products are shown on the left. Numbers on the right represent the predicted sizes of the RNA substrate and cleaved products.
Figure 3
Figure 3
RNase activity of hIRE1α reduces hIre1α mRNA levels. (A) Northern blot analysis of cells overexpressing mutant hIRE1α. Samples of total RNA obtained from COS-1 cells transfected with wild-type or mutant hIRE1α expression plasmids were resolved in a formaldehyde agarose gel. The hIre1α transcripts were probed with a 0.5 kb XbaI–BamHI fragment of hIre1α cDNA. The arrow identifies hIre1α mRNA. This autoradiogram is an overexposure in order to show the 5′ cleavage product of hIre1α mRNA (asterisk). (B) Identification of the 5′ end of hIre1α mRNA fragments by primer extension. Total RNA samples isolated from COS-1 cells transfected with wild-type (1 and 2) or K599A kinase-defective (3 and 4) hIRE1α expression plasmids were reverse transcribed using antisense hIre1α oligonucleotides in the presence of [α-35S]dATP. The same primers were used for DNA sequence analysis of the hIRE1α expression plasmid. Indicated residues are the positions where the reverse transcription ends. Lanes 1,3 and 2,4 are samples from two different transfection experiments. (C) Nucleotide sequences flanking the cleavage sites within hIre1 mRNA. Numbers on the right are the position of the last nucleotide relative to the initiation codon (the A in ATG is 1). Arrows indicate the predicted cleavage site within hIre1α mRNA. Underlined residues in HAC1 mRNA are resides that are conserved and required for cleavage by Ire1p (Kawahara et al. 1998; Gonzalez et al. 1999). (D) Cis- and trans-autoregulation of hIre1α mRNA expression. A T7-tagged kinase-defective full-length hIRE1α expression plasmid (top) or a truncated hIRE1α expression plasmid (bottom) was cotransfected with wild-type or mutant hIRE1α expression plasmids into COS-1 cells. Total RNA was prepared at 50 h posttransfection and analyzed by Northern blot hybridization. The blots were probed with an α-32P-labeled 3.5 kb EcoRI–XbaI fragment of hIre1α cDNA (top) or an α-32P-labeled 0.5 kb XbaI–BamHI fragment from the 5′ end of hIre1α cDNA (bottom). Arrows indicate positions of the plasmid-derived transcripts. hIre1α–T7 mRNA is smaller than hIre1α mRNA due to deletion of 3′ UTR during plasmid construction (see Materials and Methods). This autoradiogram is an overexposure to demonstrate the 5′ cleavage product of hIre1α mRNA (asterisk).
Figure 4
Figure 4
The RNase activity of hIRE1α is required for the mammalian UPR. (A) The reporter plasmids containing the luciferase gene under control of the rat BIP promoter and β-galactosidase under control of the SV40 early promoter were cotransfected with the hIRE1α expression plasmids into COS-1 cells as indicated. The transfected cells were treated with 10 μg/ml tunicamycin for 6 h prior to harvest. The luciferase activities are presented relative to SV40 β-galactosidase activities. Similar results were obtained from two independent experiments. (B) Cells were transfected as above in the presence of pMT2-μ or pMT2-Δsμ. The vector used for wild-type and mutant hIRE1α expression is pEDΔC.
Figure 5
Figure 5
The RNase activity of mIRE1β is required for mRNA autoregulation and activation of the UPR. (A) Northern blot analysis of mIre1β mRNA. COS-1 cells were transfected with a plasmid carrying eIF2α and either wild-type, kinase-defective (K536A), or RNase defective (K843A) mIRE1β expression plasmids as indicated. Total RNAs were prepared at 40 h posttransfection and analyzed by Northern blot hybridization. The blots were probed with α-32P-labeled 3.0 kb EcoRI–XhoI fragment of pcDNA-mIre1β–myc (top) and a 0.25 kb exon 2 fragment of eIF2α (bottom). The vector used for wild-type and mutant mIRE1β expression is pcDNA3 and eIF2α is expressed in pED. Arrows indicate the positions of plasmid-derived transcripts. (B) In vitro kinase assay of mIRE1β. COS-1 cells were transfected with either kinase-defective mIRE1β or RNase-defective mIRE1β expression plasmids. Cell lysates were prepared at 40 h posttransfection, immunoprecipitated, and subjected to in vitro kinase assay as described in Materials and Methods. Samples were separated in a 6% acrylamide gel and transferred to polyvinylidene difluoride membrane before quantitation by PhosphorImaging (top). The same blot was analyzed by Western blot analysis using anti-c-Myc epitope antibody and anti-mouse immunoglobulin antibody conjugated with horseradish peroxidase. Band intensities were measured after enhanced chemilumenescence (bottom). (C) The RNase activity of mIRE1β is required to activate the UPR. COS-1 cells were cotransfected with BIP-luciferase reporter, the SV40–β-gal reporter, and the indicated mutants of mIRE1β. Analysis was performed as described in Materials and Methods.
Figure 5
Figure 5
The RNase activity of mIRE1β is required for mRNA autoregulation and activation of the UPR. (A) Northern blot analysis of mIre1β mRNA. COS-1 cells were transfected with a plasmid carrying eIF2α and either wild-type, kinase-defective (K536A), or RNase defective (K843A) mIRE1β expression plasmids as indicated. Total RNAs were prepared at 40 h posttransfection and analyzed by Northern blot hybridization. The blots were probed with α-32P-labeled 3.0 kb EcoRI–XhoI fragment of pcDNA-mIre1β–myc (top) and a 0.25 kb exon 2 fragment of eIF2α (bottom). The vector used for wild-type and mutant mIRE1β expression is pcDNA3 and eIF2α is expressed in pED. Arrows indicate the positions of plasmid-derived transcripts. (B) In vitro kinase assay of mIRE1β. COS-1 cells were transfected with either kinase-defective mIRE1β or RNase-defective mIRE1β expression plasmids. Cell lysates were prepared at 40 h posttransfection, immunoprecipitated, and subjected to in vitro kinase assay as described in Materials and Methods. Samples were separated in a 6% acrylamide gel and transferred to polyvinylidene difluoride membrane before quantitation by PhosphorImaging (top). The same blot was analyzed by Western blot analysis using anti-c-Myc epitope antibody and anti-mouse immunoglobulin antibody conjugated with horseradish peroxidase. Band intensities were measured after enhanced chemilumenescence (bottom). (C) The RNase activity of mIRE1β is required to activate the UPR. COS-1 cells were cotransfected with BIP-luciferase reporter, the SV40–β-gal reporter, and the indicated mutants of mIRE1β. Analysis was performed as described in Materials and Methods.
Figure 6
Figure 6
Two functional RNase domains are required for the RNase activity of hIRE1α. (A) RNase-defective and kinase-defective IRE1α mutants do not trans-complement each other. COS-1 cells were cotransfected with the ERP72 CAT reporter construct and the indicated mutants of hIRE1α. Cell lysates were prepared and CAT protein and β-galactosidase activity were measured as described in Materials and Methods. The error bars represent the average of two independent experiments. Western blot analysis was performed using anti-hIRE1α antibody that reacts with the luminal domain of hIRE1α (bottom). (B) hIRE1α is autophosphorylated by both inter- and intramolecular phosphorylation reactions. COS-1 cells were cotransfected with pEDΔC vector, or vector expressing wild-type, kinase-defective (K599A), or RNase-defective (K907A) hIRE1α as indicated. In the cotransfection experiments, equal amounts of each plasmid DNA were used. Protein extracts were prepared at 48 h posttransfection and were subjected to Western blot analysis using mouse anti-T7 antibody (top) or mouse anti-hIRE1α luminal domain antibody (bottom). Detection was performed with rabbit anti-mouse immunoglobulin conjugated with horseradish peroxidase using enhanced chemilumenescence. The arrows indicate the migration of phosphorylated and unphosphorylated hIRE1α. The open triangle on the left side of the lane indicates migration of a phosphorylated doublet of full-length and T7-epitope tagged hIRE1α. The T7-epitope tagged IRE1α molecules migrate slightly slower than untagged IRE1α molecules.

References

    1. Bertolotti A, Zhang Y, Hendershot LM, Harding HP, Ron D. Dynamic interaction of BiP and ER stress transducers in the unfolded-protein response. Nat Cell Biol. 2000;2:326–332. - PubMed
    1. Casagrande R, Stern P, Diehn M, Shamu C, Osario M, Zuniga M, Brown PO, Ploegh H. Degradation of proteins from the ER of S. cerevisiae requires an intact unfolded protein response pathway. Mol Cell. 2000;5:729–735. - PubMed
    1. Chapman RE, Walter P. Translational attenuation mediated by an mRNA intron. Curr Biol. 1997;7:850–859. - PubMed
    1. Chapman R, Sidrauski C, Walter P. Intracellular signaling from the endoplasmic reticulum to the nucleus. Annu Rev Cell Dev Biol. 1998;14:459–485. - PubMed
    1. Chernokalskaya E, Dompenciel R, Schoenberg DR. Cleavage properties of an estrogen-regulated polysomal ribonuclease involved in the destabilization of albumin mRNA. Nucleic Acids Res. 1997;25:735–742. - PMC - PubMed

Publication types

MeSH terms