Complex function for SicA, a Salmonella enterica serovar typhimurium type III secretion-associated chaperone
- PMID: 10735870
- PMCID: PMC111276
- DOI: 10.1128/JB.182.8.2262-2268.2000
Complex function for SicA, a Salmonella enterica serovar typhimurium type III secretion-associated chaperone
Abstract
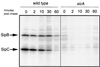
Salmonella enterica encodes a type III secretion system within a pathogenicity island located at centisome 63 that is essential for virulence. All type III secretion systems require the function of a family of low-molecular-weight proteins that aid the secretion process by acting as partitioning factors and/or secretion pilots. One such protein is SicA, which is encoded immediately upstream of the type III secreted proteins SipB and SipC. We found that the absence of SicA results in the degradation of both SipB and SipC. Interestingly, in the absence of SipC, SipB was not only stable but also secreted at wild-type levels in a sicA mutant background, indicating that SicA is not required for SipB secretion. We also found that SicA is capable of binding both SipB and SipC. These results are consistent with a SicA role as a partitioning factor for SipB and SipC, thereby preventing their premature association and degradation. We also found that introduction of a sicA null mutation results in the lack of expression of SopE, another type III-secreted protein. Such an effect was shown to be transcriptional. Introduction of a loss-of-function sipC mutation into the sicA mutant background rescued sopE expression. These results indicate that the effect of sicA on sopE expression is indirect and most likely exerted through a regulatory factor(s) partitioned by SicA from SipC. These studies therefore describe a surprisingly complex function for the Salmonella enterica type III secretion-associated chaperone SicA.
Figures
References
-
- Baudry B, Kaczorek M, Sansonetti P J. Nucleotide sequence of the invasion plasmid antigen B and C genes (ipaB and ipaC) of Shigella flexneri. Microb Pathog. 1988;4:345–357. - PubMed
-
- Cheng L W, Anderson D M, Schneewind O. Two independent type III secretion mechanisms for YopE in Yersinia enterocolitica. Mol Microbiol. 1997;24:757–765. - PubMed
-
- Collazo C, Galán J E. The invasion-associated type III system of Salmonella typhimurium directs the translocation of Sip proteins into the host cell. Mol Microbiol. 1997;24:747–756. - PubMed
Publication types
MeSH terms
Substances
Grants and funding
LinkOut - more resources
Full Text Sources
