Human embryonic gastric xenografts in nude mice: a new model of Helicobacter pylori infection
- PMID: 10085020
- PMCID: PMC96530
- DOI: 10.1128/IAI.67.4.1798-1805.1999
Human embryonic gastric xenografts in nude mice: a new model of Helicobacter pylori infection
Abstract
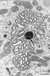
In vitro or animal models have been used to investigate the pathogenesis of Helicobacter pylori infection. However, extrapolation to humans of results obtained with these heterologous models remains difficult. We have developed a new model for the study of H. pylori infection that uses human entire embryonic stomachs engrafted in nude mice. At 80 days after implantation, 22 of these xenografts, which exhibited a mature gastric epithelium, were inoculated with 10(7) to 10(8) CFU of either H. pylori LB1, a freshly isolated H. pylori strain (n = 12), or H. pylori ATCC 49503 (n = 10). After 12-week examination, H. pylori LB1 persistently colonized the antrum of all inoculated grafts, as assessed by culture (mucus and mucosa), immunohistochemistry (mucosa), and a rapid urease test (mucus). H. pylori ATCC 49503, either before or after in vivo passage, permitted only a transient 2-week colonization in one of the five inoculated grafts in both groups. Colonization was always associated with an increase of gastric juice pH. A mild neutrophil infiltration of the gastric mucosa was noted solely in infected grafts. Transmission electron microscopy showed adherence of H. pylori organisms to epithelial cell surface. In six animals, intracytoplasmic location of this bacterium was observed in the antrum or the fundus. These results allow us to propose this model as a new ex vivo model for the study of specific H. pylori-gastric cell interactions.
Figures
References
-
- Atherton J C, Cao P, Peek R M, Tummuru M K R, Blaser M J, Cover T L. Mosaicism in vacuolating cytotoxin alleles of Helicobacter pylori. J Biol Chem. 1995;270:17771–17777. - PubMed
-
- Atherton J C, Tham K T, Peeks R M, Jr, Cover T L, Blaser M J. Density of Helicobacter pylori infection in vivo as assessed by quantitative culture and histology. J Infect Dis. 1996;174:552–556. - PubMed
-
- Bale G, Malfertheiner P, Ditschuneit H. Campylobacter-like organisms in the duodenal mucosa in patients with active duodenal ulcer. Klin Wochenschr. 1987;65:144–146. - PubMed
-
- Bode G, Malfertheiner P, Ditschuneit H. Pathogenetic implications of ultrastructural findings in Campylobacter pylori related gastroduodenal disease. Scand J Gastroenterol. 1990;23(Suppl. 142):25–39. - PubMed
-
- Chen X G, Correa P, Offerhaus J, Rodriguez E, Janney F, Hoffmann E, Fox J, Hunter F, Diavolitsis S. Ultrastructure of the gastric mucosa harboring Campylobacter-like organisms. Am J Clin Pathol. 1986;86:575–582. - PubMed
MeSH terms
LinkOut - more resources
Full Text Sources
Other Literature Sources
Medical
