Protamine-Cre recombinase transgenes efficiently recombine target sequences in the male germ line of mice, but not in embryonic stem cells
- PMID: 9405659
- PMCID: PMC25067
- DOI: 10.1073/pnas.94.26.14602
Protamine-Cre recombinase transgenes efficiently recombine target sequences in the male germ line of mice, but not in embryonic stem cells
Abstract
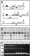
The production of subtle or conditional mutations in mice through the combined use of site-specific and homologous recombination has become an increasingly widespread experimental paradigm in mammalian genetics. Embryonic stem cells containing recombinase transgenes that were expressed in the male germ line, but not in other tissues or in the embryonic stem cells themselves, would substantially simplify the production of such alleles. Here we show that transgenes comprised of the mouse protamine 1 promoter and the Cre recombinase coding sequence mediate the efficient recombination of a Cre target transgene in the male germ line, but not in other tissues. Embryonic stem cell lines generated from one of these transgenic strains were transfected with targeting vectors that included loxP-flanked selectable markers, and homologously recombined alleles containing the marker and functional loxP sites were isolated. These results establish the potential of the system for substantially reducing the time, effort, and resources required to produce homologously recombined alleles in mice that have been secondarily rearranged by a site-specific recombinase.
Figures
References
Publication types
MeSH terms
Substances
Grants and funding
LinkOut - more resources
Full Text Sources
Other Literature Sources
Molecular Biology Databases
Research Materials
